电话:029-87679000(总机)
地址:陕西省西安市西五路157号
邮编:710114
网址:www.2yuan.xjtu.edu.cn
近日,我院神经外科团队在多学科紧密协作下,成功为一位患者切除了位于脑功能区的巨大颅内肿瘤,患者术后恢复良好,已顺利出院。
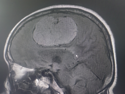
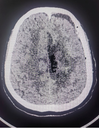
患者系中年女性,因出现偏侧肢体活动不灵和头痛症状,经检查发现颅内大脑镰旁长有一直径7cm的巨大肿瘤。肿瘤位于大脑的运动功能区,血供丰富,这一区域的手术风险极大。在决定手术治疗之前,神经外科医生与患者家属进行了充分的沟通,详细解释了手术的必要性、可能的风险和并发症,包括出血、感染、血管和神经损伤以及脑功能障碍等。家属在充分了解情况后,同意进行手术。面对这一复杂病例,我院迅速组织了由神经外科、麻醉科、心内科、输血科等多个科室的专家团队进行会诊,共同制定了先介入栓塞,再手术切除的治疗方案。





神经外科血管介入组曲友直副教授、崔刚副教授和高攀主治医师对肿瘤进行了瘤栓塞治疗,有效减少了肿瘤的血供,为后续的手术切除降低了风险。栓塞治疗后,神经外科王睿智副主任、高李贵副教授和董全主治医师在麻醉科、心内科、输血科等科室的全力配合下,凭借精湛的医术和丰富的临床经验,成功为患者切除了病变。手术过程中,麻醉科吕建瑞主任团队全程监控患者的生命体征,确保麻醉安全;心内科团队随时准备应对可能出现的心脏问题;输血科团队则确保充足的血液供应,以备不时之需。多学科的通力合作,为手术的成功提供了坚实的保障。
术后,患者被送至NICU进行密切观察,神经外科护理团队提供了精心的护理服务。在医护人员的共同努力下,患者恢复平稳,未出现任何并发症,并于近日顺利出院。


此次手术的成功,不仅展现了我院神经外科团队高超的医疗技术,更是多学科合作的典范。我院将继续秉承“以患者为中心”的服务理念,不断提升医疗服务水平,为患者提供更安全、更优质的医疗服务。