电话:029-87679000(总机)
地址:陕西省西安市西五路157号
邮编:710114
网址:www.2yuan.xjtu.edu.cn
风湿性疾病可累及多个器官,其中呼吸系统是风湿性疾病最常侵犯的器官之一,可累及肺泡壁,肺泡腔,毗邻小血管,气管。风湿性疾病累及呼吸系统是导致患者死亡的重要原因。因此,对风湿性疾病肺部并发症进行早期筛查和诊断,有助于临床早期干预,改善患者预后。
风湿性疾病呼吸系统受累表现
风湿性疾病呼吸系统受累可表现为间质性肺疾病,滤泡性细支气管炎,阻塞性细支气管炎,支气管扩张,肺气肿,肺内类风湿结节,胸膜炎症,胸腔积液等,其中以间质性肺疾病最为常见。临床症状多为咳嗽,呼吸困难,胸痛,咯血等。
间质性肺疾病的组织病理学分类包括非特异性间质性肺炎(NSIP),普通间质性肺炎(UIP),隐缘性机化性肺炎(COP),淋巴细胞间质性肺炎(LIP),急性间质性肺炎(AIP)/弥漫性肺泡损伤 (DAD),呼吸性细支气管炎相关间质性肺疾病(RB-ILD)及较为罕见的脱屑性间质性肺炎(DIP)。在风湿性疾病患者中,普通型间质性肺炎预后最差,患者的5年死亡率>50%。
较易出现呼吸系统受累的风湿性疾病包括:系统性硬化症/硬皮病,多肌炎/皮肌炎,类风湿关节炎,系统性红斑狼疮,干燥综合征,混合结缔组织病等。
1.系统性硬化症/硬皮病:是以成纤维细胞过度增生为特点的自身免疫性疾病,是内皮细胞功能障碍导致的皮肤,肺脏,心脏,肾脏器官功能障碍。其早期临床表现包括指端硬化(手,指背面皮肤增厚,随着病程进展可进展至四肢,躯干,颜面),成人起病的雷诺现象,毛细血管扩张,甲襞毛细血管变化等。超过80%的系统性硬化患者会出现呼吸系统受累,是最常见的致死原因。其中最常见的是间质性肺疾病和肺动脉高压。50%弥漫性硬皮病患者会出现间质性肺疾病,最常见的类型为NSIP。约25%局限性硬皮病患者会出现间质性肺疾病,常表现为劳力行呼吸困难,干咳。肺动脉高压发生于10-15%患者中,也是主要的致死因素之一。其他呼吸系统受累表现还包括肺血栓性疾病,肺毛细血管瘤,肺静脉闭塞病(PVOD),胸腔积液,自发性气胸,反复误吸,气道疾病等。
2. 特发性炎性肌病:是一组异质性的系统性自身免疫性疾病,其临床特征包括肌无力,肌肉疲劳,颧骨/眼睑/眶周红斑,手伸面略微隆起的红色丘疹(Gottron疹)等,其呼吸道受累可表现为呼吸肌无力,间质性肺疾病等。不同研究结果显示间质性肺疾病在特发性炎症性肌病患者中发病率为20%-80%,以NSIP和DAD常见。间质性肺疾病常与抗合成酶抗体相关。近期研究显示,抗黑色素瘤分化相关基因5抗体(MDA5)也与活动性及进展性肺间质性疾病相关。咽部肌肉受累则是吸入性肺炎的危险因素之一。
3.类风湿关节炎:以慢性侵蚀性滑膜炎为特点的系统性自身免疫性疾病,多表现为对称性关节肿胀,疼痛(尤其是掌指关节,近端指间关节,腕关节,跖趾关节),类风湿结节(位于骨突起部位,伸肌表面或关节旁的皮下结节)为特点。临床型间质性肺疾病发生于10%的类风湿关节炎患者中,女性患者发病率高于男性;亚临床型间质性肺疾病发生于30%的患者中。间质性肺疾病类型主要为UIP,占60%。类风湿关节炎的呼吸道受累还可表现为大小气道阻塞,类风湿性胸膜疾病,类风湿血管炎,肺动脉高压,继发于治疗类风湿关节炎药物的肺疾病等。
4.系统性红斑狼疮:可累及任何器官的风湿性疾病,临床表现为发热,乏力,面部皮疹(蝶形红斑,盘状红斑,光过敏等),关节痛等。系统性红斑狼疮患者尸检结果显示93%的患者合并胸膜疾病,临床症状多表现为合并或不合并胸腔积液的胸痛。急性狼疮性肺炎也是系统性红斑狼疮呼吸系统受累的表现,是急性呼吸窘迫综合征的一种,发生于1-12%患者。系统性红斑狼疮患者间质性肺疾病发病率为3-9%,最常见的类型为NSIP。其他呼吸系统受累还有血栓性疾病,肺动脉高压,肺萎缩综合症,弥漫性肺泡出血等。
5.抗中性粒细胞胞浆抗体(ANCA)相关性血管炎:包括显微镜下血多管炎(MPA),肉芽肿性多血管炎(GPA)和变应性肉芽肿性多血管炎(EGPA)。其中,MPA与针对抗过氧化物酶的ANCA强相关,GPA与针对蛋白酶3的ANCA强相关,60%EGPA患者ANCA呈阴性,若存在ANCA,多为针对过氧化物酶的。
GPA和MPA患者呼吸系统受累常出现气管支气管疾病(气管/支气管狭窄,肿块/炎性假瘤,气管支气管软化,气管食管漏),肺间质结节,间质性肺疾病 ,弥漫性肺泡出血,肺动脉狭窄等。临床多表现为咳嗽,咯血,呼吸困难,胸痛。
EGPA患者常合并哮喘(约90%),且哮喘早于血管炎发病8-10年,其他呼吸系统受累还包括肺斑片,胸腔积液,空洞性结节,肺泡出血,静脉血栓,以及上呼吸道过敏性鼻炎,鼻祖塞,鼻窦炎,鼻息肉等。三种血管炎均常常累及呼吸道,其中弥漫性肺泡出血及咯血是最常见,且是可危及患者生命的呼吸道并发症。
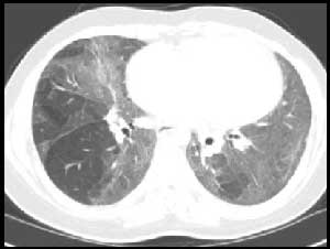
风湿性疾病肺受累常见影像学表现

非特异性

普通

急性间质性

淋巴细胞间质性

脱屑性

COP
类风湿结节
总之,当患者出现不能解释的呼吸系统疾病快速进展时,一定要警惕是否存在潜在的风湿性疾病。反之,当风湿性疾病患者出现呼吸道症状(咳嗽,呼吸困难,咯血等)时,应该警惕呼吸系统受累,尽快由风湿科医生对患者进行系统而全面的评估。
参考文献:
1. Doyle TJ, Dellaripa PF. Pulmonary Manifestations in the Rheumatic Diseases, CHEST (2017)
2.VargaJ. Overview of pulmonary complications of systemic sclerosis (scleroderma) . UpToDate.
3.Dellaripa PF, Miller ML. Interstitial lung disease in dermatomyositis and polymyositis: Clinical manifestations and diagnosis. UpToDate.
4.Lake FR. Overview of lung disease associated with rheumatoid arthritis.UpToDate。
5.Lake FR. Interstitial lung disease in rheumatoid arthritis .UpToDate
6.Dellaripa PF, Danoff S, Pulmonary manifestations of systemic lupus erythematosus in adults. UpToDate.
7.King TE. Respiratory tract involvement in granulomatosis with polyangiitis and microscopic polyangiitis. UpToDate.
8.King TE. Clinical features and diagnosis of eosinophilic granulomatosis with polyangiitis (Churg-Strauss). UpToDate.
9.King TE.Cryptogenic organizing pneumonia. UpToDate.
