电话:029-87679000(总机)
地址:陕西省西安市西五路157号
邮编:710114
网址:www.2yuan.xjtu.edu.cn
临床上治疗肿瘤患者,多采用的是全身治疗联合局部治疗,包括消融、放疗、介入等局部治疗手段可以降低患者肿瘤负荷,释放抗原,止痛,是必不可少的治疗手段。
而肾上腺作为核心内分泌器官,位置深在且毗邻肾动脉、下腔静脉等关键结构,开放手术风险大:普通热消融易刺激肾上腺皮质,导致激素急剧释放,引发致命性高血压危象,局部治疗手段有限。2026年1月30日,西安交通大学第二附属医院肿瘤内科团队与影像科团队协同攻关,成功完成我院首例肾上腺转移瘤复合式冷热消融术,以微创精准技术为晚期肿瘤患者 “降负荷、拓生机”,填补区域深部脏器转移瘤微创治疗空白。
患者为73岁女性,2024年确诊阴道低分化鳞状细胞癌伴全身多发专业,经多线化疗、免疫、靶向、放疗后,全身病情控制理想,仅左侧肾上腺转移瘤持续增大压迫周围组织引发腰背部胀痛,面对患者复杂的病情,肿瘤内科迅速组建多学科诊疗(MDT)专班,考虑到患者病情与肾上腺器官特殊性,全身治疗后续治疗方案疗效有限,放疗耗时长,冷热消融术可以克服激素释放且对周围正常脏器损伤低,经多学科讨论后实施我院第一例肾上腺转移瘤冷热消融术。

图1:冷热消融术中操作图
影像导航定靶:影像科凭精准影像引导,将消融针“点对点”置入肿瘤核心,避开重要血管神经。
冷热双极灭瘤:肿瘤内科团队启动消融模式,先以-196℃液氮“冻锁”肿瘤,再用84℃高温彻底灭活瘤体细胞,最大程度减少对肾上腺皮质的刺激,从根源上规避激素急剧释放引发的高血压危象,实现“精准灭瘤+器官保护”双重目标。
微创速愈优势:局麻手术仅90分钟,出血不足5ml,术后瘤负荷显著降低,腰背部胀痛症状同步缓解,次日即可下床活动,无明显并发症。

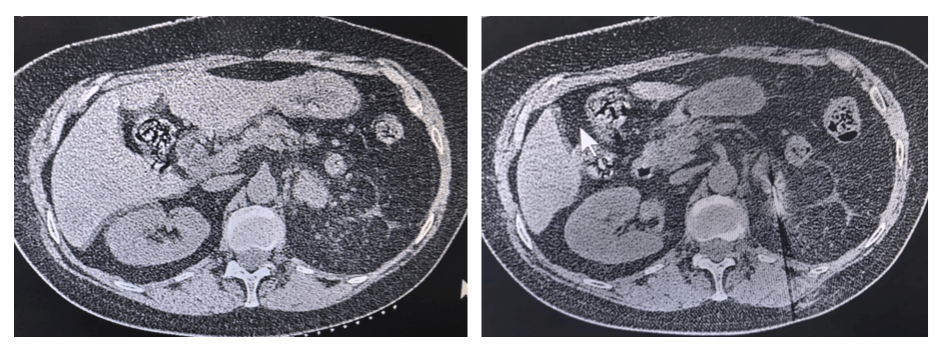
图 2:手术前后肿瘤对比图
此次手术的成功实施,不仅是交大二附院多学科协作(MDT)的又一实践成果,更标志着我院在深部脏器转移瘤治疗领域,迈入“微创精准减瘤”新阶段。该技术无需开放手术,局麻微创下即可实现深部转移瘤的靶向灭活,不仅显著降低治疗创伤与风险,更能快速降低肿瘤负荷,为后续全身治疗“铺路”,助力患者延长生存期、提升生活质量。
自开展肿瘤微创治疗技术探索以来,交大二附院肿瘤内科与影像科团队已建立成熟的多学科协作机制,未来,团队将持续深化多学科协作,推动更多精准微创技术的临床应用,为更多晚期肿瘤患者点亮生命希望。