电话:029-87679000(总机)
地址:陕西省西安市西五路157号
邮编:710114
网址:www.2yuan.xjtu.edu.cn


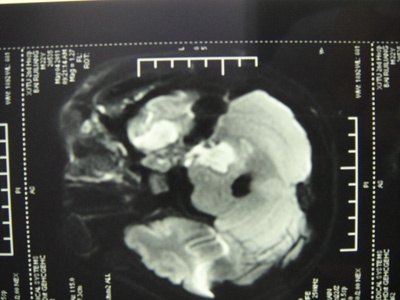
5月3日我院干一科收治一名22岁男性患者。该患者入院前15天在东莞打工时突然发病,高烧,头晕头痛,恶心呕吐,意识模糊,间断抽搐,咽痛,言语不清,左眼肿痛,视物模糊,四肢无力。在当地医院发现血糖高,测随机血糖为18mmol/L,尿中有酮体。腰穿脑脊液压力高,细胞数高,潘氏实验阳性。头颅MRI示左侧颞叶、桥脑、桥小脑脚异常信号影。在当地医院按“1.颅内侵袭性真菌感染 海绵窦综合征 2. 1型糖尿病并酮症酸中毒3.真菌性败血症 4.左上腭真菌感染”,予“伊曲康唑、阿昔洛韦、头孢他啶、甲泼尼龙琥珀酸钠、甘露醇”等药物治疗后,症状缓解不明显,遂来我院求治。
入院时患者病情危重,仍发热,体温38.7度,一般情况差,嗜睡,营养不良,半月余体重减轻约20Kg,左眼肿胀、眼球突出,左眼睑不能闭合,左眼仅可辨认指数,口腔疼痛,上腭部可见大片黑色坏死组织。查体:左侧第2-8对颅神经均受损,交叉瘫,右侧肢体肌力Ⅴ级差,右侧Babinski’s征阳性。左眼球突出,眼球活动受限,左侧球结膜充血、水肿,角膜水肿、浑浊。入院后干一科何娅主任高度重视,立即成立抢救小组,积极开展救治工作。经多部位多次活检,标本送涂片、病理、培养,在口腔坏死组织中发现毛霉菌菌丝及孢子,且培养有金黄色葡萄球菌和鹑鸡肠球菌(天然耐万古霉素),确诊为鼻眶脑毛霉菌病合并细菌感染,结合临床及影像学检查发现该患者病菌侵袭范围相当广泛:波及鼻腔、鼻窦、眼眶、小脑、桥脑及颞叶。该病例非常罕见,病情十分凶险,死亡率极高,文献报导鼻眶脑毛霉菌病死亡率高达97%-100%。因病变范围广,单纯药物治疗效果不佳,必须清除原发灶才能控制病情进展。
“病房如战场,救命如救火”,当明确“毛霉菌感染”后,何娅主任指示将病情向医疗科及感染办做了书面汇报,并在医疗科韩新生主任积极协调下组织了全院相关科室大会诊。耳鼻喉科、口腔科、眼科、神经外科积极配合,协助取材、清理坏死组织,为病人病情全面好转奠定了基础。耳鼻喉科主任许珉教授非常重视,会诊时他正上手术,先安排一名医生来了解情况,刚一下手术台顾不上休息便匆匆赶来。口腔科赵振怀主任多次会诊,协助取材。眼科任百超教授接到会诊单后查阅相关资料,对后续诊治提出了指导性意见。干一科老专家刘文超教授多次来看病人,详细询问病情,全面为病人查体,制定了周密的检查治疗方案。西北地区著名的神经外科老前辈杨庆余教授不顾高龄亲自前来会诊,提出了很多宝贵的建议,并且多次主动来随访,他的这种敬业精神非常值得我们年轻大夫学习。
在对该患者的治疗过程中还涌现出许多感人事例:因特效药“两性霉素B脂质体”和“利奈唑胺”比较贵,患者帐上欠费时为确保治疗顺利进行,何娅主任主动为患者垫付医药费。为了确保患者生命安全,冯建军主治医生亲自陪病人去口腔科、耳鼻喉科会诊,清理病灶、取活检,取材后为保证万无一失,他还跑前跑后去病理科送标本。患者在治疗过程中因病痛折磨情绪不稳定,常常发脾气,干一科的医护人员耐心地为他做思想工作,仔细地为他眼部换药、做口腔护理。患者鼻腔有病灶,下胃管难度大,护士长姚婕亲自进行操作;患者四肢肿胀,血管难找,她们也一一克服困难,保证了治疗的顺利进行。
经过医护人员的共同努力,患者精神明显好转,体温基本正常,肢体肌力基本恢复,为节省费用,患者已于最近出院回当地治疗。临走时家属对于我们的精心治疗表示衷心感谢。
作者:干一病区宣传员 陈松盛 杨萍
责编:赵文颉