电话:029-87679000(总机)
地址:陕西省西安市西五路157号
邮编:710114
网址:www.2yuan.xjtu.edu.cn
随着我国医疗改革的不断深化,头部公立三甲医院的角色也在不断变化。作为国内知名的关节外科中心,我院关节外科在中华医学会骨科学分会候任主任委员王坤正教授的带领下,奋发向上,图变图新,积极顺应人民日益增长的医疗需求,敢于挑战高难度、高风险临床问题,勇于亮剑,连续完成多例复杂关节置换手术。
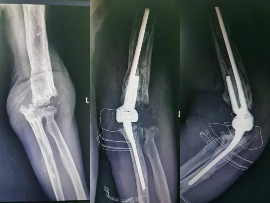
郝姓老人,68岁,20多年前因为车祸导致左侧肘关节粉碎性骨折,做了左侧肘关节置换手术。1年前,老人肘关节肿胀、流脓,肘关节活动明显受限,诊断为肘关节假体周围感染,在我院关节外科行假体取出旷置术,并在关节外科进行了全流程管理,最终感染得以控制。今年6月份,老人再次来到我院关节外科,要求重建左侧肘关节。考虑到患者既往感染史,肘关节周围骨缺损较大,周围软组织状态差,血管神经走行变异,手术难度极大,在王坤正教授的指挥下,我院关节外科主任杨佩教授为老人定制了专用假体,并在王春生副教授、田润副主任、孔宁医生的协助下,造成了肘关节再置换术。术后老人恢复良好,按时出院。


赵女士不幸罹患强制性脊柱炎,导致右侧髋关节完全融合,左侧髋关节继发股骨头坏死,日常生活受到极大影响,曾在国内多家关节外科中心就诊寻求治疗,但均因为全身状况无法耐受麻醉,后辗转慕名到我院关节外科就诊。我院关节外科杨佩主任接诊患者后,积极联系心血管内科、风湿免疫科等科室治疗,并反复邀请麻醉科进行麻醉风险,最终为患者制定了手术方案,分别在今年5月份、8月份在王春生副教授、田润副主任和孔宁医生协助下,进行了机器人辅助双侧髋关节手术。在右侧全髋关节置换术顺利完成的第二天,赵女士扶着拐,高兴的说:从来没想到髋关节可以这么灵活!


陈老师已退休多年,今年年初不慎摔倒导致右侧肱骨外科颈骨折,外院就诊后考虑患者年龄和骨折移位情况,建议保守治疗。但随着骨折畸形愈合,陈老师发现右胳膊完全抬不起来,导致平时吃饭、洗漱、梳头这些最普通的动作都成了奢望。为了解决这个问题,陈老师到我院关节外科就诊。在对患者进行仔细检查后,王坤正教授考虑陈老师是骨折畸形愈合伴巨大肩袖撕裂,建议行反肩关节置换术,来改善目前肩关节的功能。最终在杨佩主任、田润副主任、孔宁医生配合下,陈老师右侧反肩关节置换术顺利完成,并在关节外科医护和康复科合作下,开始进行康复治疗。


我院关节外科坐落西北,在王坤正教授的带领下,不断开拓创新,将数字化、3D打印、人工智能等前沿技术与临床工作有效结合,已成为国内领先的数字化关节外科中心,在关节外科领域持续践行并不断深化数字化、精准化、个性化的理念,引领国内骨科数字化变革。在数字化技术加持下,持续提高解决复杂、高难度关节疾病水平,为公立三甲医院关节外科的角色定位和能力提升探索出了新的道路。